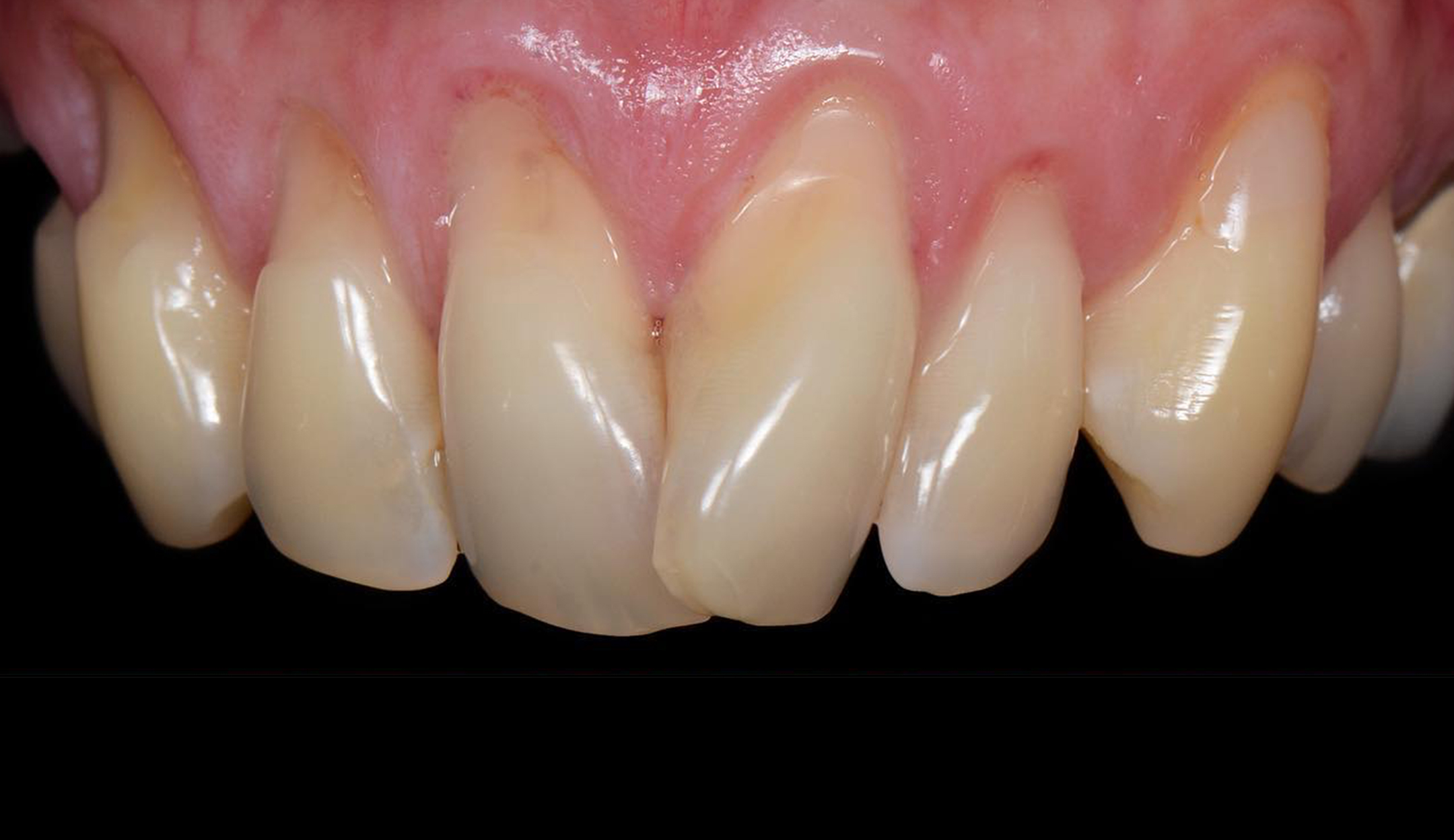
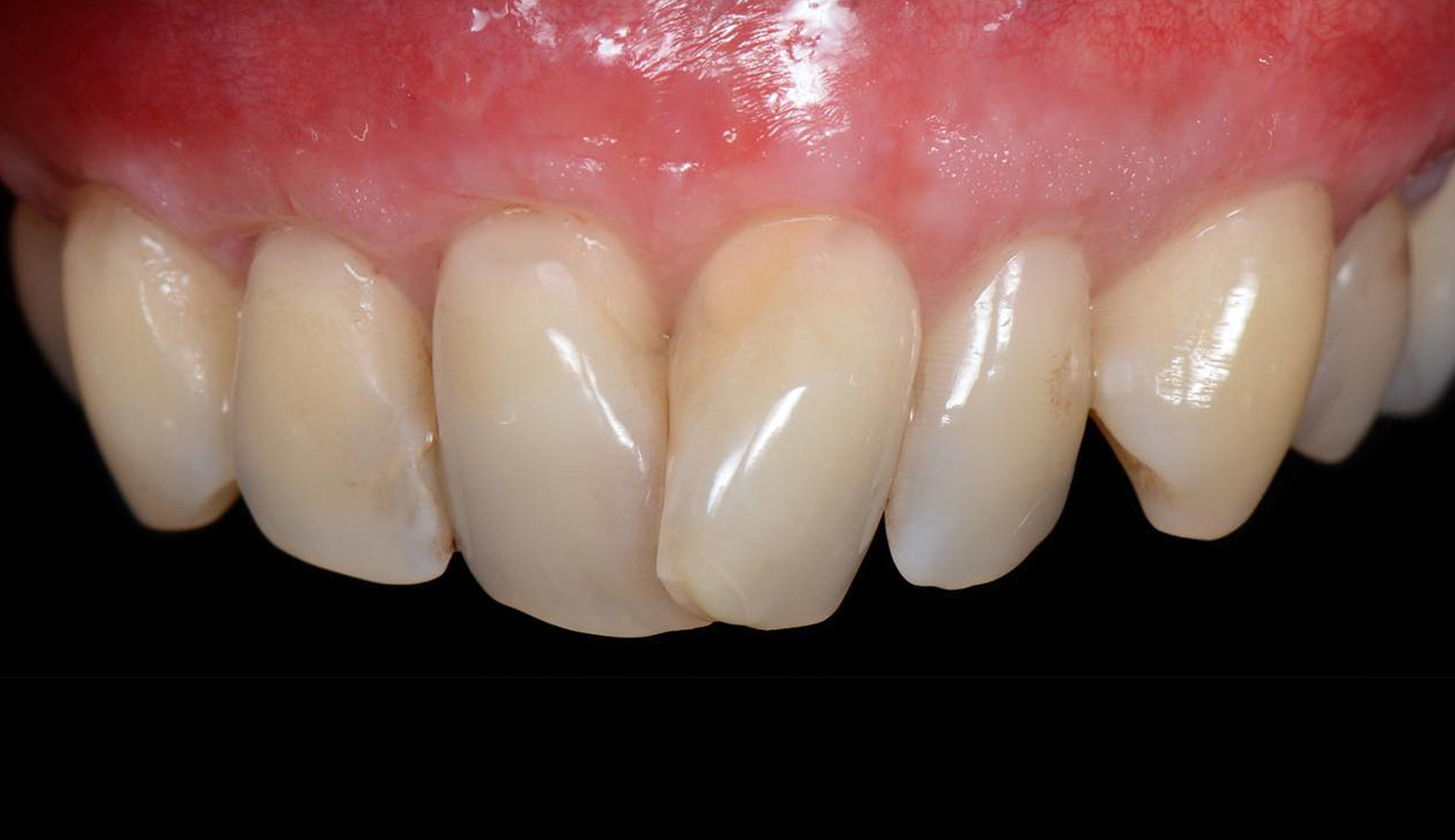
Receding gums can change the appearance of your smile and compromise your oral health. When gum tissue pulls away from the teeth, roots become exposed, leading to sensitivity, an increased risk of decay, and even potential tooth loss. At Dr. Geoffrey Rubinshtein Periodontics & Implantology, we provide advanced gum grafting in NYC to restore gum coverage and protect vulnerable teeth.
Gum grafting is a proven surgical procedure that replaces lost tissue and strengthens the gumline. Our goal is to improve the look of your smile and give you long-term stability and comfort. We help patients achieve healthier gums, stronger teeth, and renewed confidence with tailored treatment plans.
Gum grafting is a periodontal surgical procedure designed to repair areas of gum recession by adding new tissue to the affected site. The graft replaces or augments missing gum tissue, protecting the tooth root and creating a healthier, more even gumline.
There are several approaches to gum grafting, each suited to specific conditions. In many cases, tissue is taken from the patient’s own palate (roof of the mouth) and transplanted to the recessed area. In other cases, donor tissue or specially processed grafting material may be used, providing excellent outcomes without the need for a second surgical site.
The goals of gum grafting include:
Gum grafting is a common treatment periodontists recommend when gum recession threatens oral health or aesthetics. At Dr. Geoffrey Rubinshtein Periodontics & Implantology, we evaluate each patient carefully to recommend the most suitable grafting technique. By using precise methods and modern tools, we ensure the graft integrates successfully, restoring both health and appearance.
Gum recession develops gradually and may go unnoticed until teeth appear longer or sensitivity occurs. Several factors can contribute:
If gum recession is not addressed, exposed roots can lead to discomfort, a higher risk of decay, and loss of supporting bone. Early intervention is key to preventing further damage. Gum grafting provides a long-term solution by reinforcing the gumline and protecting the teeth from ongoing harm.
Patients often notice changes in their gums before they realize recession is occurring. Signs that gum grafting may be necessary include:
In addition to these symptoms, your periodontist may recommend gum grafting if bone loss is detected around the teeth. Gum grafting is not only cosmetic but also vital in stabilizing oral health. Dr. Geoffrey Rubinshtein Periodontics & Implantology uses comprehensive exams and imaging to determine when gum grafting is the best option for protecting your smile.
There are several types of gum grafting techniques, each suited to different patterns of recession and patient needs.
Each technique has its advantages, and the choice depends on the amount of recession, gum thickness, and the patient’s overall oral health. At Dr. Geoffrey Rubinshtein Periodontics & Implantology, grafting procedures are customized to ensure both function and aesthetics are restored.
Preparation is an important step for a successful gum graft. During your consultation, your periodontist will:
Before surgery, you may be advised to:
Clear instructions are provided so you feel confident and ready for your procedure. At Dr. Geoffrey Rubinshtein Periodontics & Implantology, we prioritize preparation because it lays the foundation for smooth surgery and optimal recovery.
Gum grafting is performed under local anesthesia, with sedation available for patients who prefer added comfort. The process generally follows these steps:
The procedure typically takes one to two hours, depending on the number of teeth involved. Most patients are surprised by how comfortable the process feels, especially with modern tools and sedation options.
At Dr. Geoffrey Rubinshtein Periodontics & Implantology, precision is the focus. Each graft is placed with care to ensure functional stability and natural-looking results.
Recovery is an important part of gum grafting, and healing usually takes one to two weeks. Patients may experience mild soreness or swelling, which can be managed with prescribed medication or over-the-counter pain relief.
During the first week, you may be advised to:
Follow-up appointments are scheduled to monitor progress and remove sutures if necessary. Over time, the graft integrates with surrounding tissue, restoring coverage and stability.
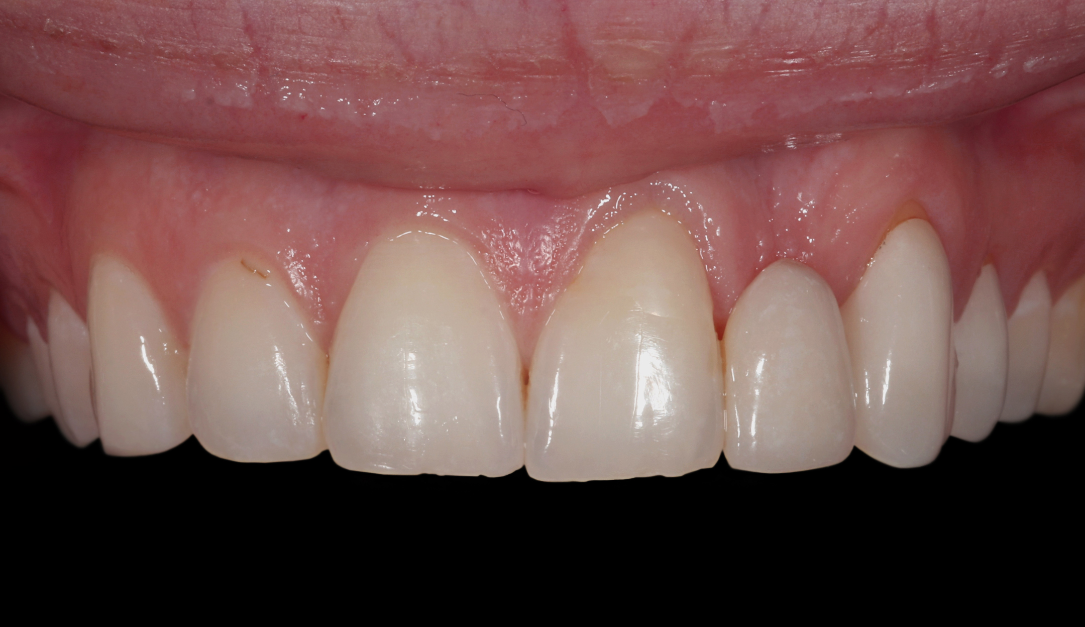
Most patients notice reduced sensitivity and a healthier gumline within weeks. Complete healing and full cosmetic improvement continue over several months, leaving the gumline stronger and more resilient.
Gum grafting offers both functional and cosmetic benefits:
At Dr. Geoffrey Rubinshtein Periodontics & Implantology, patients choose gum grafting not just for oral health, but also for the lasting improvement in comfort and aesthetics.
As with any surgical procedure, gum grafting carries some risks, though complications are uncommon when performed by an experienced periodontist. Potential concerns include:
Proper planning, advanced techniques, and attentive follow-up care minimize these risks. Patients are given clear instructions to support healing and reduce complications.
You can expect safe treatment and predictable results by choosing a skilled periodontal team like Dr. Geoffrey Rubinshtein Periodontics & Implantology.
While gum grafting is a proven method for treating recession, alternatives may be appropriate in certain cases.
Your periodontist will explain whether alternatives can provide the same long-term stability as grafting. For many patients, traditional gum grafting remains the most predictable method.
After gum grafting, prevention plays a critical role in protecting your results. Key strategies include:
At Dr. Geoffrey Rubinshtein Periodontics & Implantology, preventive care is emphasized after treatment. By following recommended habits, you can maintain the stability of your gum graft and reduce the chance of future recession.
Candidates for gum grafting include patients with exposed roots, significant sensitivity, or gum recession that compromises function or aesthetics. It is also recommended for those preparing for restorative or cosmetic treatments that require stable gum support.
Good candidates should have overall healthy oral tissues and be committed to maintaining their results with proper care. Patients with uncontrolled medical conditions or poor oral hygiene may need to address these issues before undergoing grafting.
A consultation at Dr. Geoffrey Rubinshtein Periodontics & Implantology determines whether gum grafting is the right choice and which technique is most suitable.
Receding gums can affect both the appearance and health of your smile. Gum grafting in NYC gives patients access to advanced care that restores coverage, protects teeth, and provides lasting comfort. At Dr. Geoffrey Rubinshtein Periodontics & Implantology, we specialize in procedures that combine precision with compassionate care.
If you’ve noticed sensitivity, exposed roots, or changes in your gumline, it may be time to consider gum grafting. Call our office at (718) 516-3557 or request an appointment online to schedule your consultation. Together, we’ll create a personalized plan to restore your gum health and protect your smile for years.
A: The procedure is performed under local anesthesia, with sedation available. Mild discomfort afterward is managed with medication and typically resolves within days.
A: Initial healing takes one to two weeks, with full integration occurring over several months. Patients usually return to normal routines within a few days.
A: Yes. With proper care and maintenance, gum grafts provide long-term stability and protection.
A: Yes. Depending on the case, grafting can be done on several teeth during one appointment.
A: Donor tissue and substitutes are carefully processed and sterilized, making them a safe alternative to patient tissue.
A: Coverage varies depending on your plan and whether treatment is deemed medically necessary. Our office assists in determining benefits.
A: Success rates are very high when performed by experienced periodontists. Patients benefit from predictable results that improve both health and appearance.

